Pod opieką pracowników świdnickiego schroniska dla bezdomnych zwierząt znalazła się kotka, którą odnaleziono na terenie Świdnicy. Coco przeszła już pilną operację ratującą życie, ale wciąż wymaga specjalistycznego leczenia ortopedycznego i być może w przyszłości rehabilitacji.

– Kotka Coco została znaleziona pod blokiem, gdzie, jak się okazało, leżała od dłuższego czasu. Zgłoszenie trafiło do nas przez straż miejską. Jej stan od początku wskazywał na bardzo poważny uraz najprawdopodobniej w wyniku wypadku komunikacyjnego lub upadku z dużej wysokości, np. z balkonu. Nie wiemy, ile czasu cierpiała, zanim ktokolwiek zauważył, że potrzebuje pomocy – informują przedstawiciele Fundacji Mam Pomysł będącej operatorem świdnickiego schroniska dla zwierząt.
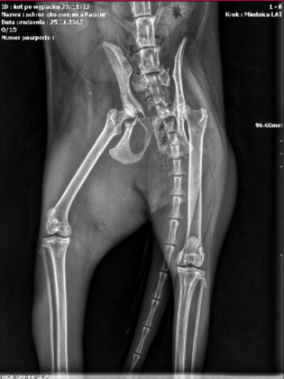
– Coco w stanie silnego bólu trafiła natychmiast do weterynarza. Po wykonaniu badań RTG i pełnej diagnostyki okazało się, że jej obrażenia są poważne i rozległe. Stwierdzono m.in.: obustronne zwichnięcie stawów biodrowo-krzyżowych, złamanie panewki prawego stawu biodrowego, rozejście się nieprawidłowo zrośniętego starego złamania z przemieszczeniem kości kulszowej, zerwanie ogona (uraz kręgosłupa ogonowego) – opisują pracownicy placówki.
– Kotka wymaga intensywnego leczenia przeciwbólowego, operacji, dalszej diagnostyki, a w kolejnych etapach, specjalistycznego leczenia ortopedycznego i być może w przyszłości rehabilitacji. Przed Coco długa i kosztowna droga do odzyskania choćby częściowej sprawności. Koszty leczenia już teraz są bardzo wysokie, a to dopiero początek. Dlatego z całego serca prosimy Was o pomoc – apelują.
Wsparcie na rzecz Coco można przekazać za pośrednictwem serwisu RatujemyZwierzaki.pl.
/Fundacja Mam Pomysł, opr. mn/


![Mikołajki w świdnickim Schronisku dla bezdomnych zwierząt [FOTO]](https://swidnica24.pl/wp-content/uploads/2025/12/Mikolajki-schronisko-dla-bezdomnych-zwierzat-7-grudnia-2025-r-Swidnica-22-238x178.jpg)




![Strażacy uwalniali lisa ze… zderzaka [FOTO]](https://swidnica24.pl/wp-content/uploads/2025/12/lis-w-zderzaku-100x75.jpg)

![Kto wygrał zaproszenia na świąteczny koncert zespołu i chóru Armii USA w Świdnicy? [ROZWIĄZANIE KONKURSU]](https://swidnica24.pl/wp-content/uploads/2023/04/Orkiestra-Sil-Powietrznych-Stanow-Zjednoczonych-w-Europie-21-04-2023-Swidnica-5-100x75.jpg)